资料来源发布者:时间:2025-12-22 17:57:16浏览量:147次
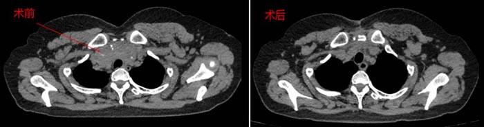
近日,患者刘女士因胸骨后巨大甲状腺肿来我院就诊,术前CT提示胸骨后有超过10公分的巨大甲状腺肿瘤,与胸主动脉、主支气管、无名静脉、心包等重要脏器都紧密粘连,手术稍有不慎,后果不堪设想。我院普外甲状腺病区医生团队接诊后,高度重视,邀请胸外科、麻醉科、重症医学科组成了MDT小组为其进行会诊,专家们为患者进行了详细的病情分析及风险评估,得到家属同意后,一致决定为其行“开放劈胸手术”。患者在各兄弟科室的通力协作下,历经5个小时,手术顺利,术后恢复良好。


患者术前术后影像学对比
胸骨后甲状腺肿是一种较为特殊的甲状腺疾病,由于其位置特殊,易引起吞咽困难、呼吸不畅等症状,需要及时就医,在专科医师的评估下选择合适的治疗方案。尤其是巨大的胸骨后甲状腺肿,手术难度大、风险高,本次手术的成功实施,标志着我院在巨大复杂甲状腺肿瘤的诊疗中取得了重大突破,甲状腺诊疗技术几乎覆盖了所有的甲状腺疾病。(普外甲状腺病区)
专家简介

孙磊,医务部副部长,普外甲状腺病区主任,主任医师。扬州大学医学院毕业,先后在复旦大学附属中山医院和肿瘤医院进修学习,从事普外科临床工作20多年,对普外科相关疾病的诊治有着丰富的临床经验,擅长颈部肿块、甲状腺、甲状旁腺良恶性结节、乳腺良性、恶性肿瘤的诊治,注重甲状腺、乳腺恶性肿瘤的综合治疗。熟练掌握甲状腺、乳腺良恶性肿瘤的诊治及外科手术。对甲状腺、甲状旁腺良恶性肿瘤、亚急性甲状腺炎、桥本氏甲状腺炎、乳腺良恶性肿瘤等多种疾病有丰富的临床诊治经验。
甲状腺科专家门诊:周一全天
联系电话:0523-84995325。
地址:靖江市中洲路28号 急救电话:120 邮编:214500
靖江市人民医院版权所有 苏公网安备 32128202000192号 备案号:苏ICP备10054064号-1
Copyright © 2016 Jingjiang People’s Hospital. All Rights Reserved
服务热线:0523—84995123 (拨打时间:周一至周五 08:00—11:30 14: 00—17:30、周六08:00—11:30 )


